Clinica dentale specializzata
a Noventa Vicentina
Lo Studio
Lo Studio Medico Dentistico del dott. Gobbi Giovanni è un ambiente accogliente e professionale, interamente pensato per il tuo comfort e la tua serenità. L'intera struttura segue i più alti standard di igiene e sicurezza, garantendo un'esperienza di cura ottimale.
La nostra squadra è composta da un team specializzato e costantemente aggiornato. L'attenzione particolare alla salute della persona e della sua bocca è la nostra priorità, il tutto seguito con preparazione specialistica e personalizzazione di ogni piano di cura. Ci avvaliamo esclusivamente di attrezzature innovative che ci permettono di eseguire diagnosi precise e trattamenti efficaci.
Dott. Giovanni Gobbi
Il dott. Giovanni Gobbi nasce a Noventa Vicentina il 16/07/1957. Si laurea in Medicina e Chirurgia presso l’Università degli Studi di Padova nel 1985.
Nel 1986 apre il suo studio medico odontoiatrico a Noventa Vicentina, esercitando con passione e dedizione la professione medico odontoiatrica da 40 anni.
Il dott. Giovanni Gobbi è iscritto all’Ordine dei Medici Chirurghi e agli Albi dei Medici Chirurghi e degli Odontoiatri di Vicenza, oltre che alla sezione ANDI (Associazione Nazionale Dentisti Italiani) di Vicenza.
Dott.ssa Beatrice Gobbi
La dott.ssa Beatrice Gobbi nasce a Noventa Vicentina il 10/02/1995. Si laurea in Odontoiatria e Protesi Dentaria nel 2020 all’Università Vita-Salute San Raffaele di Milano.
Dal 2020 affianca il padre nella sua pratica clinica.
La dott.ssa Beatrice Gobbi è iscritta all’Ordine dei Medici Chirurghi e Odontoiatri di Vicenza e all’ANDI della stessa sezione. Iscritta inoltre alla SIDCO (Società Italiana di Chirurgia Orale) e alla SIMEO (Società Italiana di Medicina Estetica Odontoiatrica).
La Dott.ssa si è specializzata in Chirurgia Orale presso l'Università di Modena e Reggio Emilia nel 2025.
Dott. Alessandro Gobbi
Il dott. Alessandro Gobbi nasce a Noventa Vicentina il 29/04/1997. Si laurea in Odontoiatria e Protesi Dentaria nel 2022 all’Università di Verona.
Dal 2022 è attivo presso lo studio di famiglia.
Il Dott. Alessandro Gobbi è iscritto all’Ordine dei Medici Chirurghi e Odontoiatri di Vicenza e all’ANDI della stessa sezione.
Sig.ra Barbara Neri
Assistente alla poltrona
Sig.ra Natascia Maddalena
Assistente alla poltrona
Implantologia
L’implantologia è la branca dell’Odontoiatria che utilizza gli impianti dentali per sostituire le radici dei denti naturali che sono andate perse.
È una tecnica che permette sia la riabilitazione estetica che funzionale, consentendo un elevato comfort dato che elimina i fastidi legati all’utilizzo di una protesi mobile. Gli impianti infatti vengono inseriti all’interno dell’osso del paziente e vengono poi completati tramite corone protesiche dall’alta valenza estetica, oltre che funzionale.
Le tecniche avanzate più moderne, come quelle messe in pratica nel nostro studio, consentono interventi chirurgici mini-invasivi e atraumatici, in modo da garantire ai pazienti il maggior comfort possibile.
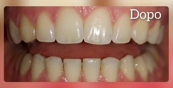
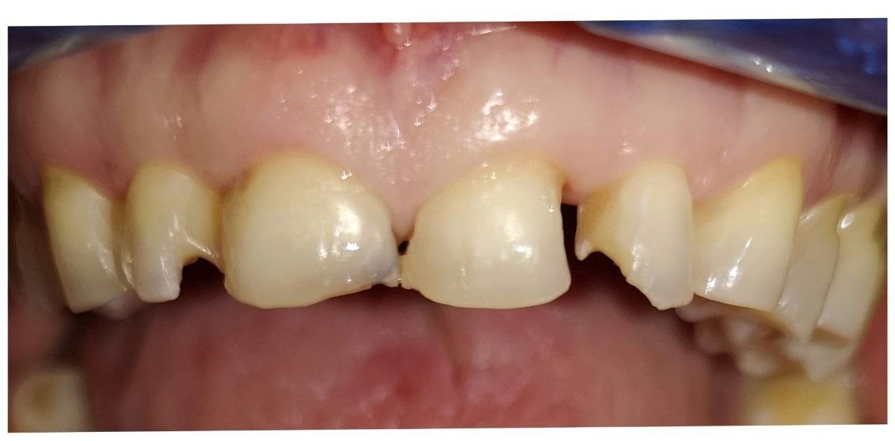
Caso clinico
Intervento di implantologia orale su incisivo centrale superiore e posizionamento di corona estetica in ceramica pressata.

Ortodonzia
L’ortodonzia è la disciplina odontoiatrica che comprende la diagnosi e il trattamento delle anomalie della posizione dei denti e delle ossa mascellari. Questo può essere ottenuto tramite l’ausilio di apparecchi mobili o fissi che vanno a correggere le varie anomalie.
Si indossa un apparecchio non solo per una questione estetica: i denti nella posizione corretta consentono anche una migliore igiene orale, una funzionalità masticatoria migliore e la correzione di alcuni problemi nella fonazione.
Quando si parla di apparecchio dentale, si pensa di solito ai giovani o ai bambini, ma anche gli adulti possono beneficiare di un trattamento ortodontico! L’unica differenza sta nel fatto che le malocclusioni scheletriche possono essere corrette solo in fase di crescita e tramite apparecchi dentali specifici, mentre negli adulti questo non è più possibile, se non tramite chirurgia ortognatodontica. Invece allineare i denti è possibile anche in età adulta.
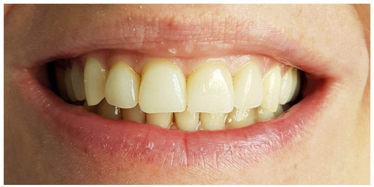
Casi clinici
Disinclusione di un canino superiore. Il canino si trovava all’interno del palato e dopo esposizione chirurgica è stato trazionato in arcata con un apparecchio ortodontico, restituendo al paziente il suo sorriso.


Protesi dentaria fissa
Le protesi dentarie fisse consentono di sostituire denti mancanti o danneggiati. Sono dette fisse perché vengono posizionate in bocca in modo permanente e non possono essere rimosse.
Le protesi fisse possono essere realizzate sui denti naturali o sugli impianti.
Casi clinici
Disinclusione di un canino superiore. Il canino si trovava all’interno del palato e dopo esposizione chirurgica è stato trazionato in arcata con un apparecchio ortodontico, restituendo al paziente il suo sorriso.


Chiama in sede per fissare un appuntamento con il nostro studio




